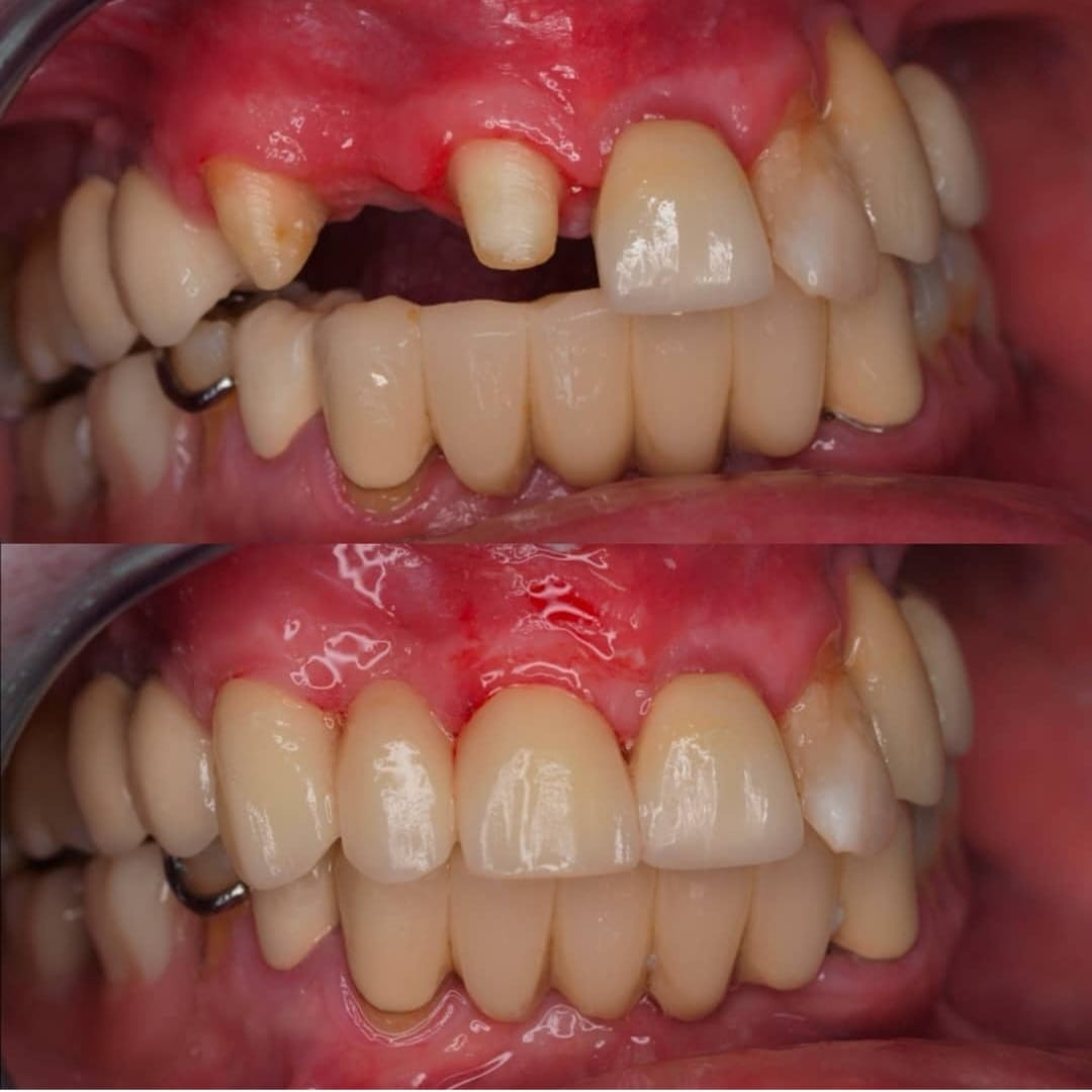
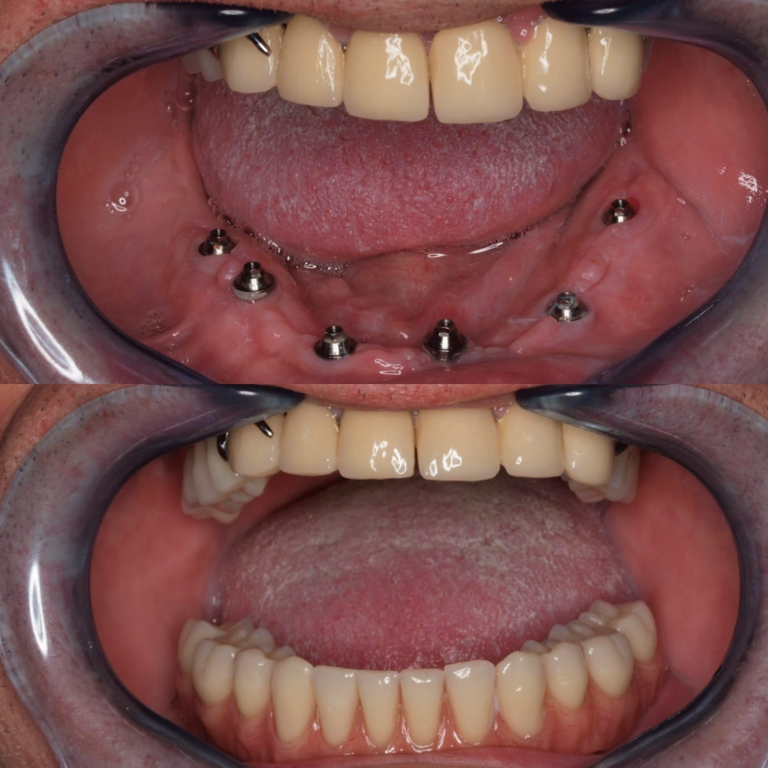
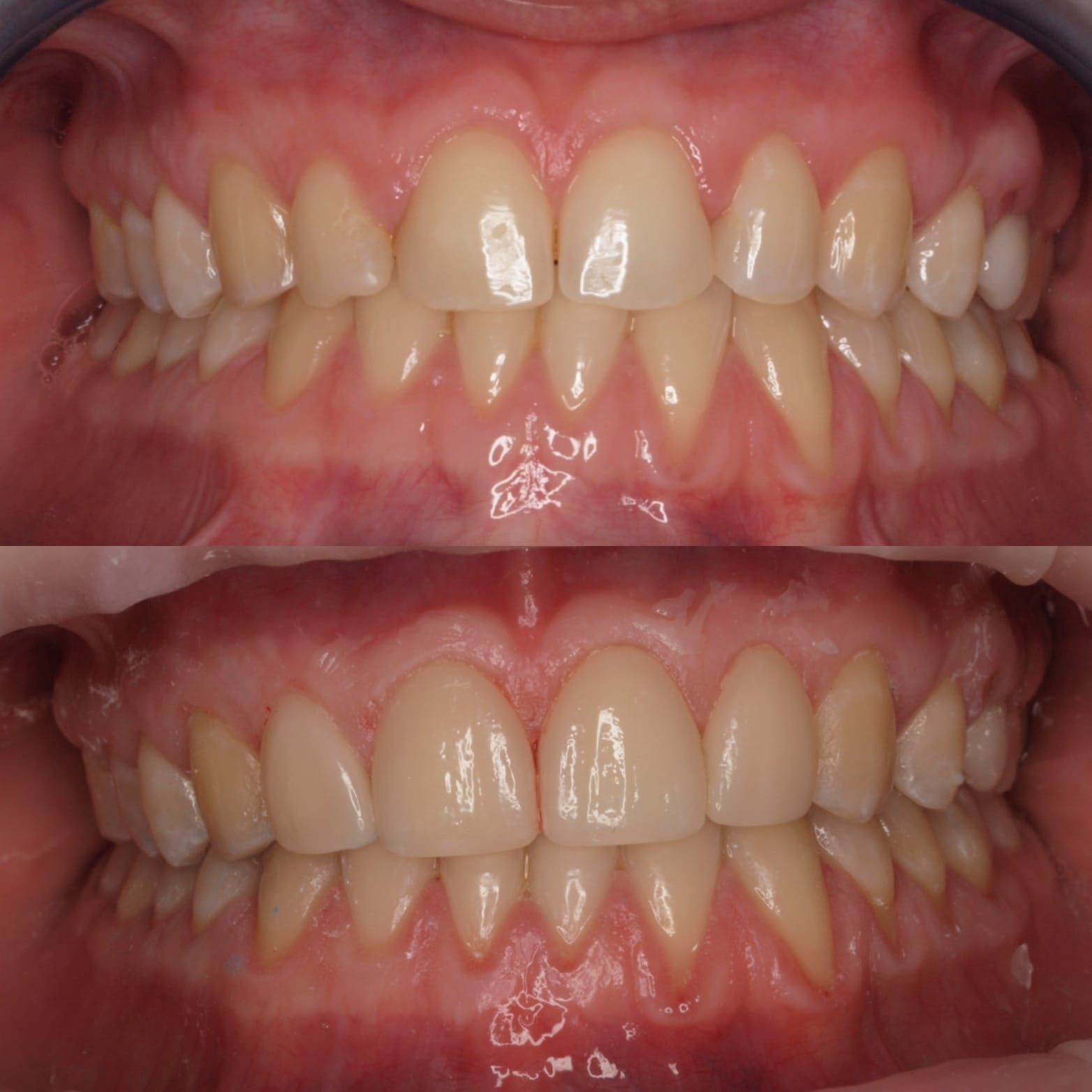
Casos de pacientes
En Clínica Dental Dr. Molinete trabajamos para que los procesos y las intervenciones sean lo más rápido y eficaz posible y con el mejor de los tratos. Tras 12 años de experiencia contamos con diferentes casos de pacientes resueltos de forma óptima.
Aquí te mostramos algunos de ellos.
Blanqueamiento dental



























